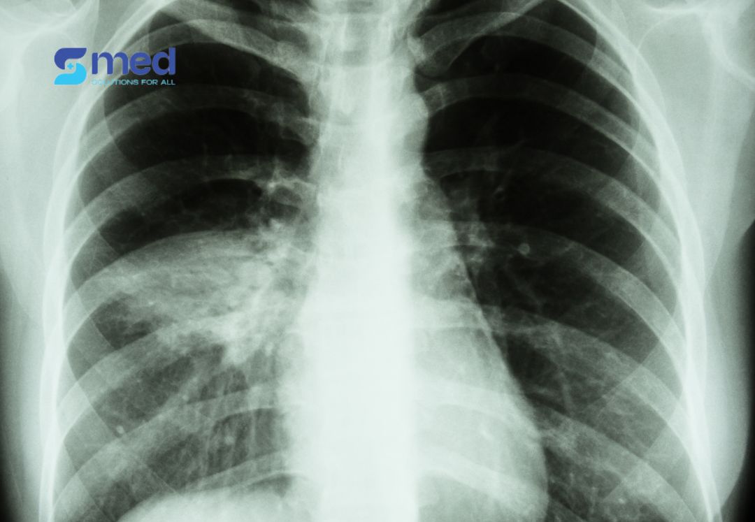
Thâm nhiễm đáy phổi là tình trạng mô phổi vùng đáy (thấp nhất của phổi) xuất hiện những chất bất thường như dịch, tế bào viêm, mủ hoặc tế bào ung thư. Trên phim X-quang hoặc CT ngực, vùng này hiện lên như các mảng trắng đục, là dấu hiệu cho thấy phổi đang bị tổn thương hoặc viêm nhiễm nghiêm trọng.

Tình trạng này đặc biệt phổ biến ở người lớn tuổi, người có bệnh mãn tính (COPD, suy tim, tiểu đường), hoặc những người đang hồi phục sau viêm phổi, COVID-19. Do vùng đáy phổi nhận nhiều máu và dễ ứ dịch khi cơ thể suy yếu, nó dễ trở thành nơi tích tụ dịch viêm hoặc tổn thương do suy giảm miễn dịch, viêm kéo dài hoặc xơ phổi sau nhiễm trùng.
Điều đáng lo là thâm nhiễm đáy phổi không chỉ gây khó thở mà còn làm giảm khả năng trao đổi khí, tăng nguy cơ thiếu oxy máu, và có thể tiến triển thành hội chứng suy hô hấp cấp (ARDS) nếu lan rộng hai bên. Những vết thâm nhiễm kéo dài sau viêm phổi hay COVID-19 còn liên quan đến giảm chức năng phổi mạn tính, làm suy giảm chất lượng sống, đặc biệt ở người cao tuổi hoặc có bệnh nền.
Vì vậy, việc phát hiện sớm qua hình ảnh học (X-quang, CT, siêu âm phổi), kết hợp theo dõi chức năng hô hấp là cực kỳ quan trọng. Thâm nhiễm đáy phổi không phải là một bệnh đơn lẻ, mà là dấu hiệu cảnh báo các vấn đề tiềm ẩn – đôi khi có thể phục hồi được nếu xử lý kịp thời, nhưng cũng có thể để lại hậu quả vĩnh viễn nếu chậm trễ.
Hãy theo dõi sát các triệu chứng hô hấp, đặc biệt nếu bạn hoặc người thân từng mắc COVID-19 hoặc viêm phổi nặng.
Bạn có đang thắc mắc liệu máy tạo oxy ở nhà có đủ an toàn nếu phát hiện dấu hiệu này? Đừng ngần ngại tìm hiểu hướng dẫn kiểm tra thiết bị ngay sau bài viết này.
Để nhận biết sớm thâm nhiễm đáy phổi tại nhà, hãy theo dõi các dấu hiệu như ho dai dẳng, khó thở tăng dần, đau tức ngực, thay đổi tiếng thở, và sự suy giảm khả năng vận động.
.jpg)
Dưới đây là 8 dấu hiệu cảnh báo sớm mà bạn và người chăm sóc có thể quan sát:
Checklist theo dõi hằng ngày được chuyên gia khuyến nghị gồm:
Khi nào cần đi khám hoặc chụp X-quang/CT gấp?
Lưu ý theo từng nhóm nguy cơ:
COPD: Dễ diễn tiến nhanh, cần theo dõi chặt ngay cả khi chỉ ho nhẹ hoặc thấy đờm đổi màu.
Xơ phổi: Chỉ cần ho tăng hoặc thấy “ran nổ” mới là đã đủ chỉ định chụp HRCT.
Ung thư: Mọi triệu chứng hô hấp mới đều có thể liên quan đến di căn hoặc bội nhiễm.
Người cao tuổi: Hay thiếu sốt, biểu hiện bằng lú lẫn hoặc yếu đi rõ rệt.
Hãy nhớ: Đừng chờ đến khi triệu chứng trở nên nặng. Ghi chú mỗi ngày, lắng nghe cơ thể, và hành động sớm là cách đơn giản nhất để bảo vệ phổi và sự an toàn của người thân tại nhà.
Tự đánh giá nhanh nguy cơ thâm nhiễm đáy phổi chỉ trong 6 câu hỏi! Hãy trả lời lần lượt từng câu bên dưới:
Xử lý và hỗ trợ thở tại nhà cho người có thâm nhiễm đáy phổi cần bắt đầu bằng nghỉ ngơi đầy đủ, nâng cao đầu khi nằm, và duy trì thông thoáng đường thở để giảm gánh nặng hô hấp.
Đầu tiên, người bệnh cần nghỉ ngơi hợp lý và nằm đầu cao từ 30–45 độ để dễ thở và hỗ trợ dẫn lưu dịch tiết. Uống đủ nước giúp làm loãng đờm, trong khi các kỹ thuật như ho có kiểm soát hoặc vật lý trị liệu hô hấp giúp loại bỏ dịch nhầy, hạn chế nhiễm trùng.
Nếu sử dụng máy tạo oxy, CPAP hoặc BiPAP tại nhà, hãy tuân thủ đúng đơn kê và hướng dẫn sử dụng, thường xuyên theo dõi SpO2 bằng máy đo nồng độ oxy. Khi chỉ số này xuống thấp hoặc có dấu hiệu suy hô hấp, cần liên hệ bác sĩ ngay. Duy trì vệ sinh thiết bị (mặt nạ, máy tạo ẩm, máy khí dung…) là bước quan trọng để tránh nhiễm khuẩn.
Bên cạnh đó, tập thở chúm môi, thở bụng, và tham gia chương trình phục hồi chức năng hô hấp được chứng minh giúp cải thiện oxy hóa và giảm mệt mỏi. Chế độ dinh dưỡng phù hợp cũng tăng sức đề kháng và hỗ trợ phục hồi nhanh.
Cuối cùng, tránh tự ý dùng kháng sinh, không bỏ qua triệu chứng nặng như đau ngực, tím môi, thở nhanh >30 lần/phút, và luôn sẵn sàng liên hệ đường dây hỗ trợ y tế khi cần.
Phòng ngừa tái phát và biến chứng thâm nhiễm đáy phổi tại nhà bắt đầu từ việc kiểm soát các yếu tố nguy cơ và sử dụng thiết bị hỗ trợ hô hấp đúng cách.
Để bảo vệ người bệnh khỏi nguy cơ tái phát và biến chứng nặng, chuyên gia khuyến nghị duy trì tiêm phòng đầy đủ (cúm, phế cầu, COVID-19, RSV), tập phục hồi hô hấp tại nhà (thở có kiểm soát, sử dụng máy spirometer), và đảm bảo dinh dưỡng, nước uống đầy đủ để nâng cao sức đề kháng.
Việc kiểm soát bệnh nền như COPD, hen, tiểu đường cũng rất quan trọng tuân thủ thuốc, theo dõi chỉ số, và xử lý sớm triệu chứng nhiễm trùng là thiết yếu. Bên cạnh đó, các thiết bị hỗ trợ hô hấp tại nhà như máy tạo oxy y tế, máy thở hỗ trợ, máy đo SpO₂, và máy lọc không khí được khuyến nghị cho gia đình có người bệnh nguy cơ cao.
Khi chọn máy tạo oxy, nên ưu tiên loại đạt chuẩn y tế, có độ tinh khiết oxy tối thiểu 82%, lưu lượng phù hợp (2–10L/phút), còi báo lỗi rõ ràng, dễ di chuyển và hoạt động êm (≤50dB). Đừng quên kiểm tra nguồn gốc, chứng nhận chất lượng như CE, FDA hoặc ISO 13485.
Cuối cùng, hãy xây dựng kế hoạch phòng ngừa tại nhà: tránh tiếp xúc nếu có triệu chứng, rửa tay thường xuyên, theo dõi chỉ số oxy mỗi ngày và chuẩn bị sẵn phương án cấp cứu. Đừng ngần ngại nhờ chuyên gia đến thăm khám, hướng dẫn sử dụng thiết bị, và đánh giá nguy cơ trong môi trường sống.
Phòng ngừa hiệu quả bắt đầu từ sự chuẩn bị kỹ lưỡng – vì mỗi hơi thở ổn định là một ngày bình yên.
Sự hồi phục từ thâm nhiễm đáy phổi đòi hỏi hơn cả thuốc men đó là sự kiên nhẫn, quan sát tinh tế và môi trường chăm sóc an toàn. Bạn hoàn toàn có thể giúp người thân an tâm thở tại nhà, nếu có hướng dẫn đúng, thiết bị đáng tin cậy và tâm thế sẵn sàng. Tại S-med.vn, chúng tôi không chỉ cung cấp thiết bị hô hấp mà còn đồng hành như một người bạn hiểu chuyện. Vì hít thở an toàn là nền tảng cho mỗi ngày sống khoẻ.